Case1
●1988
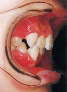
Age at initial visit : 7 y 7 m, male /Protruding upper bite. Open bite. Receding lower jaw. Protruding dual dentition.
Active treatment period : 1st Phase trt. 1 y1 m
2nd Phase trt. 2 y7 m (Initial 7 m: headgear only)
44/44 Extractions.
Age at initial visit : 7 y 7 m, male /Protruding upper bite. Open bite. Receding lower jaw. Protruding dual dentition.
Active treatment period : 1st Phase trt. 1 y1 m
2nd Phase trt. 2 y7 m (Initial 7 m: headgear only)
44/44 Extractions.






1 Initial Visit 2-11-’88






2 After Phase 2 Treatment 6-6-’94
This was a case of significant Protruding upper bite, and early treatment was deemed necessary from a functional perspective.
Although the treatment spanned a long period of 8.5 years from the initial visit to the removal of the retainer, such a treatment duration is required when initiating treatment early. This case raised numerous issues, including whether to utilize growth for treatment and determining the optimal timing for treatment initiation.
Although the treatment spanned a long period of 8.5 years from the initial visit to the removal of the retainer, such a treatment duration is required when initiating treatment early. This case raised numerous issues, including whether to utilize growth for treatment and determining the optimal timing for treatment initiation.



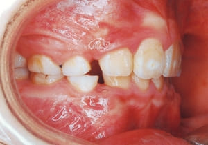
3 Initial Visit 2-11-’88

3 Initial Visit 2-11-’88

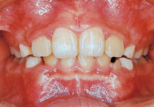
4 Initial Visit 2-11-’88

5
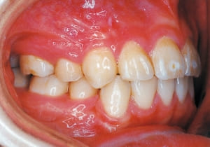
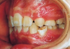
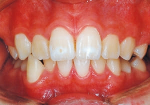
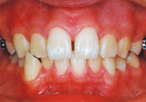
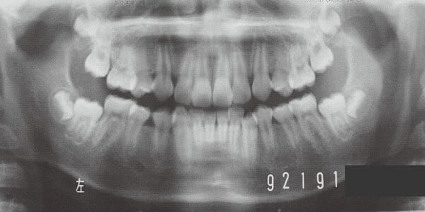
The Class II condition is pronounced, with a significant overjet of 12.5 mm(3). Although the teeth size are large, crowding is relatively mild. The maxillofacial structure has good depth and a robust bone framework(5). The mandible itself is solid , robust gonial angle, but there is significant anterior-posterior displacement relative to the maxilla(ANB 10.0°). While there is no confirmed history of thumb-sucking or similar habits, the lower lip is already pushing up against the maxillary incisors. The cause of this condition is unknown.



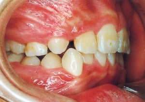
6 Initial Visit 2-11-’88



7 At start of Phase 1 Treatment 3-28-’88



8 Phase 1 Treatment progress 1-25-’89 10 months after start of treatment






9 After Phase 1 Treatment 5-24-’89 1 year and 2 months after start of treatment



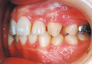
10 At a follow-up before Phase 2 Treatment 8-30-’90



11 After Phase 1 Treatment 5-24-’89

11 After Phase 1 Treatment 5-24-’89

12 After Phase 1 Treatment 5-24-’89

13 uperimposition on S–N and S
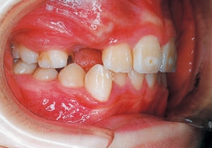
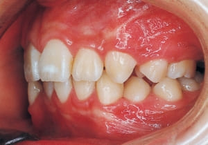
The first phase of treatment involved extracting the left and right maxillary deciduous canines. The space created was used to forcibly retract the four anterior teeth, thereby aiming to improve lip closure function (6–9, 11). Morphological changes suggest that lip function differed before and after treatment (6, 9). Subsequently, the first premolars erupted, but extraction is planned to secure space for canine eruption (10). A Class II molar relationship remains, but the significant overjet has improved (11).



14 After extraction of maxillary bilateral first premolars 11-6-’90






15 At second stage treatment initiation 9-21-’91 Observing eruption of maxillary canines



16 Four months post-second stage treatment initiation 2-29-’92 Currently using headgear on maxill



17 At start of full bracket treatment 5-18-’92



18 Treatment progress 4-11-’94



19 At second stage treatment initiation 9-21-’91

19 At second stage treatment initiation 9-21-’91

20 At second stage treatment initiation 9-21-’91

21
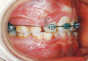
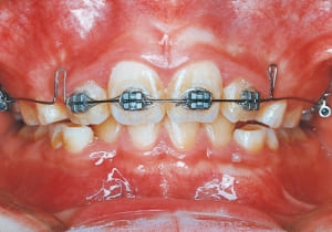
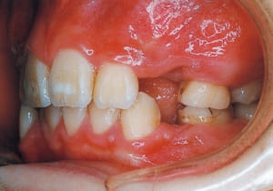
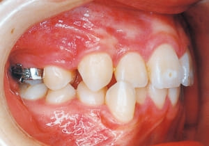
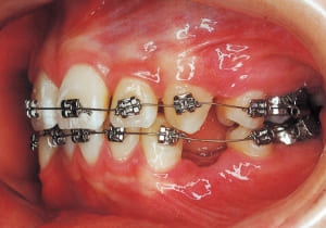
In the maxilla, insufficient space for canine eruption was inevitable, necessitating extraction as part of the treatment plan. The maxillary first premolars on both sides were extracted during routine observation to create space for canine eruption (14). Eventually, the canines erupted and settled into relatively favorable positions (15,19,20). In the mandibular dentition, crowding was also present, leading to extraction of the mandibular first premolars on both sides. Treatment with full bracket was then initiated (17).



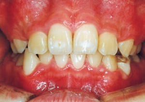
22 Initial Visit 2-11-’88



23 After Phase 1 Treatment 5-24-’89



24 At second stage treatment initiation 99-21-’91



25 After Phase 2 Treatment 6-6-’94



26 After Retention 7-8-’96

27 Initial Visit 2-11-’88

28 After Phase 1 Treatment 5-24-’89


29 At second stage treatment initiation 9-21-’91

30 After Phase 2 Treatment 6-6-’94

31 After Retention 7-8-’96

32
The facial type changed from backward divergent to straight between the initial visit and after retention (27–31). Cephalometric X-rays reveal significant mandibular growth (32).
Treatment period from initiation to completion of active treatment lasted 6 years and 2 months, with appliances worn for 3 years and 8 months of that time. Retention lasted 2 years and 2 months following active treatment.
Treatment period from initiation to completion of active treatment lasted 6 years and 2 months, with appliances worn for 3 years and 8 months of that time. Retention lasted 2 years and 2 months following active treatment.