Case47
●1988
Age at Initial Visit: 7years 3month, Male / Open bite.
Active Treatment Period: 1 year 8 months
Non-extraction
Age at Initial Visit: 7years 3month, Male / Open bite.
Active Treatment Period: 1 year 8 months
Non-extraction






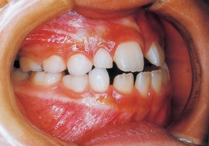
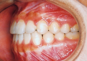
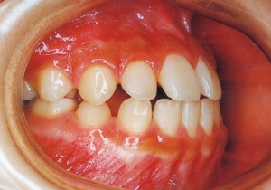
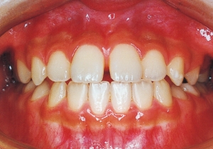
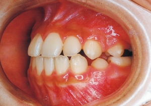
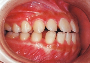
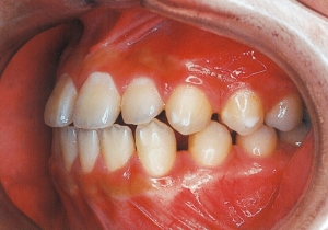
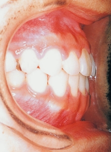
1 Initial Visit 10-22-’88






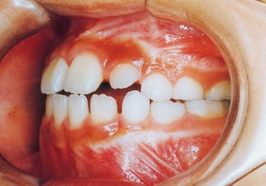
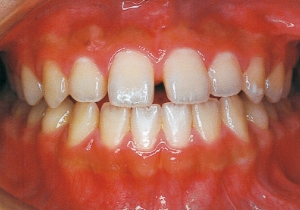
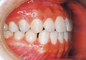
2 After Treatment 8-21-’96
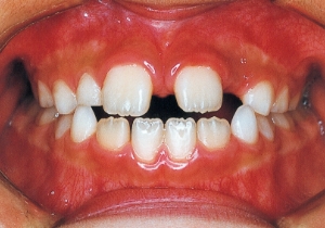
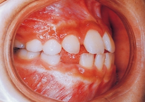
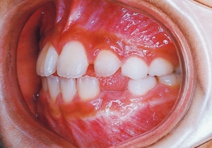
Open bite with a tendency toward protruding lower bite. A case treated in the permanent dentition after regular observation. The patient presented with an open bite accompanied by a midline diastema. No intervention was performed during the mixed dentition phase, and regular observation continued for six years until the permanent dentition was complete. Treatment was initiated at age 13 years and 5 months without extractions. In this case, the lower facial height is greater than the upper facial height. In such a structure, the tongue tends to be positioned in a low position. The mandible has a large body and a short mandibular ramus, exhibiting a distinctive morphology. Since there was no significant issue with the anterior-posterior position of the jaw, observation was chosen. During follow-up observation, it can be seen that the appearance of the anterior teeth changes over time (3–7).



3 8-1-’89 8 years and 1 month old



4 2-21-’90 8 years and 7 month old



5 3-14-’92 10 years and 8 month old



6 3-16-’94 12 years and 8 month old



7 11-19-’94 13 years and 4 month old



8 12-22-’94 Before second phase treatment 15 years and 5 month old



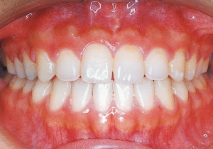
9 Initial Visit 10-22-’88



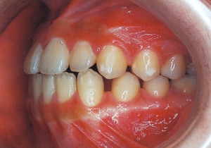
10 At start of treatment 11-19-’94



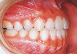
11 After Treatment 8-21-’96






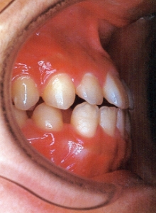
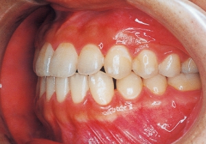
12 After Retention 12-15-’98



13 Initial Visit 10-22-’88



14 At start of treatment 11-19-’94



15 After Treatment 8-21-’96

16