CASE89
●1992
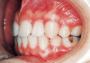
Age at Initial Visit: 9year 1month, Female / Neutral bite. Bialveolar protrusion.
Active Treatment Period: 2year 8month
Extraction.
Age at Initial Visit: 9year 1month, Female / Neutral bite. Bialveolar protrusion.
Active Treatment Period: 2year 8month






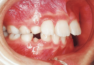
1 Initial Visit 8-19-’92






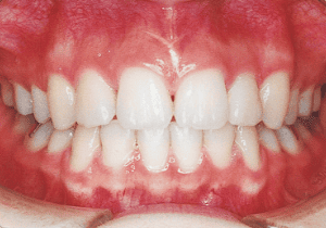
2 After treatment 5-26-’99
A case of mixed dentition with Class I occlusion and slight crowding. The overjet was mildly large. When the lips were closed, they were slightly protruding, and the patient exhibited tension in the mentalis muscle. The skeletal structure exhibits a balanced height and depth, but the mandibular ramus is somewhat short, resulting in a minimally retruded lower jaw. The mental protuberance is large, but its appearance is masked by the tension of the mentalis muscle. The case was managed as an extraction case after waiting for the permanent dentition to complete. This case can be treated without extraction. However, without extraction, tension in the mentalis muscle will remain, making relapse of anterior crowding highly likely after treatment.



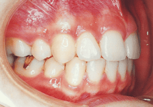
3 At Appliance Placement 9-20-’96

4 Initial Visit 8-19-’92

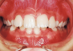
5 Before Treatment 4-20-’96

6 After Treatment 5-26-’99

7