CASE101
●1985
Age at Initial Visit: 15year 1month, Female / Transfer Case (From the United States)
Documents to bring: Dental model at initial visit
Active Treatment Period at our office: 1year 8month
●Active treatment period by previous orthodontist: 10 months
Extraction.
Congenital missing tooth
Age at Initial Visit: 15year 1month, Female / Transfer Case (From the United States)
Documents to bring: Dental model at initial visit
Active Treatment Period at our office: 1year 8month
●Active treatment period by previous orthodontist: 10 months






1 Initial Visit 9-2-’85






2 After treatment 7-20-’87
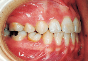
A transfer case where active treatment had been initiated at the previous orthodontist for 10 months (estimated, as no records were available at the time of transfer). The device is edgewise. The current occlusion exhibits a Class II molar relationship that is even stronger than the original state, and it has also become an open bite.



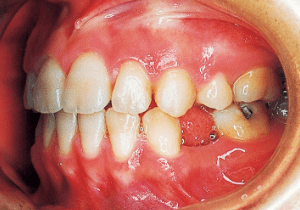
3 Year and month unknown Original



4 9-2-’85 At initial visit, molar relationship was a strong Class II.



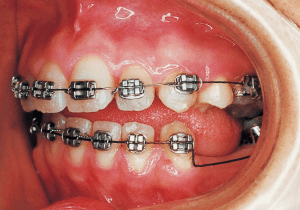
5 7-20-’87 After treatment



6 10-1-’85 at appliance replacement



7 3-10-’86 Treatment Progress



8 3-23-’87 Treatment Progress
Contractual problems: No transfer documents, unclear status of orthodontic treatment fees.
Treatment problems: The extraction space in the maxilla has already closed, and given the patient’s age, effective treatment through growth is not feasible. This makes it difficult to convert the Class II malocclusion to a Class I occlusion.
Assessment and Management: Based on the pre-treatment condition (as assessed using models), the overjet and Class II molar relationship can be improved within the scope achievable by utilizing space created by extracting the maxillary left and right first premolars. Therefore, the treatment plan regarding tooth extraction would likely have been the same as that of the previous orthodontist. However, the progress of treatment over the past 10 months has not been entirely positive. Although it is unclear how these undesirable conditions arose, I determined they resulted from the destruction of the fixation and the influence of the tongue. I decided to continue treatment as is by rebuilding the mechanism.
Treatment problems: The extraction space in the maxilla has already closed, and given the patient’s age, effective treatment through growth is not feasible. This makes it difficult to convert the Class II malocclusion to a Class I occlusion.
Assessment and Management: Based on the pre-treatment condition (as assessed using models), the overjet and Class II molar relationship can be improved within the scope achievable by utilizing space created by extracting the maxillary left and right first premolars. Therefore, the treatment plan regarding tooth extraction would likely have been the same as that of the previous orthodontist. However, the progress of treatment over the past 10 months has not been entirely positive. Although it is unclear how these undesirable conditions arose, I determined they resulted from the destruction of the fixation and the influence of the tongue. I decided to continue treatment as is by rebuilding the mechanism.
The treatment progressed more favorably than anticipated, with the open bite and Class II malocclusion nearly resolved within five months of treatment initiation. However, discontinuing the use of rubber bands often resulted in an open bite.