CASE2
●1994
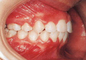
Age at Initial Visit : 8y 3m, female /Protruding upper bite. Protruding upper dentition.
Active treatment period: 2 y9 m
Extraction.
Age at Initial Visit : 8y 3m, female /Protruding upper bite. Protruding upper dentition.
Active treatment period: 2 y9 m






1 Initial Visit 9-6-’94






2 After Treatmen 9-2-’00
A Protruding upper bite case with significant overjet and Class II molar relationship.
There is no history of habits such as thumb-sucking, and all three sisters have similar Protruding upper bite. The lower lip pushes up against the protruding upper anterior teeth. Consequently, the notch in the lower lip is also deep. It is entirely conceivable that this condition may have some influence on facial growth. Furthermore, while the maxillofacial structure has greater depth relative to height and low lower facial height, suggesting substantial mandibular growth potential, treatment initiation was deferred based on the assumption that this overjet was not secondary to other factors and the judgment that adequate correction could be achieved during permanent dentition treatment.
There is no history of habits such as thumb-sucking, and all three sisters have similar Protruding upper bite. The lower lip pushes up against the protruding upper anterior teeth. Consequently, the notch in the lower lip is also deep. It is entirely conceivable that this condition may have some influence on facial growth. Furthermore, while the maxillofacial structure has greater depth relative to height and low lower facial height, suggesting substantial mandibular growth potential, treatment initiation was deferred based on the assumption that this overjet was not secondary to other factors and the judgment that adequate correction could be achieved during permanent dentition treatment.



3 Initial Visit 9-6-’94



4 After Treatment 9-2-’00

5
In this case, initiating orthodontic treatment early improves both the overjet and Class II molar relationship. Adopting this treatment plan requires continued treatment into the permanent dentition phase, ultimately leads to treatment outcomes that do not require tooth extraction. However, in cases like this one, where the cause appears to be congenital, long-term use of headgear on the maxillary first molars is highly likely to cause insufficient space for the second molars to erupt. While tooth extraction is avoided, the burden often falls on the maxillary second molars.