Case66
●1991
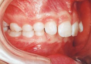
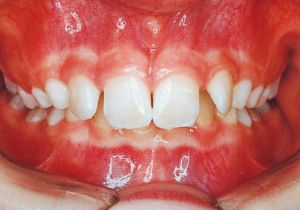
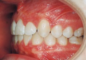
Age at Initial Visit: 11years 3month, Male / Deep bite. Protruding upper bite, Spaced arch.
Active Treatment Period: 3 year 7 months
Non-extraction
Age at Initial Visit: 11years 3month, Male / Deep bite. Protruding upper bite, Spaced arch.
Active Treatment Period: 3 year 7 months
Non-extraction






1 Initial Visit 9-3-’91






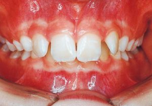
2 After Treatment 6-24-’95
Class II deep bite in mixed dentition. A significantly large overjet and a spaced arch are observed. The cephalometric X-ray shows that the anteroposterior displacement of the maxilla and mandible is not particularly large (ANB 5°), but the nasal floor is elevated anteriorly, providing evidence supporting a history of thumb sucking. The skeletal form shows a relatively slight mandibular body deficiency, but the mandibular ramus is adequately sized and appears likely to develop sufficiently. The use of headgear was planned to suppress maxillary anterior growth and achieve relative mandibular advancement. Treatment was performed without extraction, assuming continuity until the permanent dentition stage.



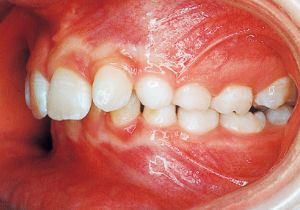
3 Initial Visit 9-3-’91



4 After Treatment 6-24-’95 3 years and 7 months after starting treatment



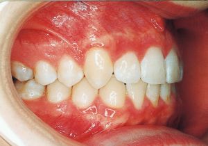
5 After Retention 5 years and 6 months after starting treatment

6