Case77
●1987
Age at Initial Visit: 5year 11month, Female / Diverted bite. Cross bite.
Active Treatment Period: 1st Phase trt. 11month +1year(expansion)
2nd Phase trt.2year.
Extraction. / Surgery
Age at Initial Visit: 5year 11month, Female / Diverted bite. Cross bite.
Active Treatment Period: 1st Phase trt. 11month +1year(expansion)
2nd Phase trt.2year.






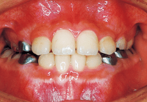
1 At start of treatment 7-21-’88






2 After treatment 2-10-’99
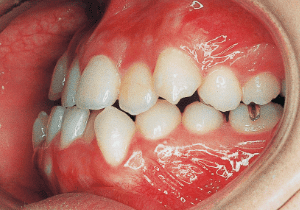
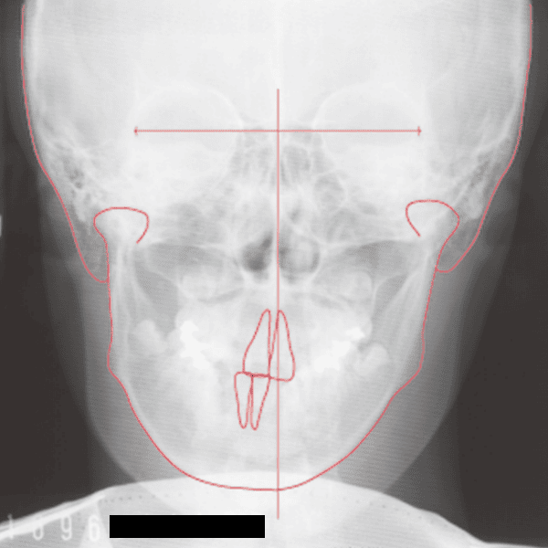
A case of diverted and cross bite during the deciduous dentition. Despite early treatment, the deviation progressively worsened with age, necessitating surgical treatment. At the initial visit, the patient had a deciduous dentition, and observation was planned (3). With the eruption of the permanent incisors, the mandible shifted slightly to the right, resulting in a cross bite (1) At this point, asymmetry can be confirmed in the front view. However, it is slight. The cephalometric X-ray reveals a structure with a slightly dominant mandible, but asymmetry in the mandibular ramus is not observed.



3 Initial Visit 6-17-’87

4 At start of treatment 7-21-’88

5 At start of treatment 7-21-’88

6
On the lateral cephalometric radiograph, the vertical height of the face appears greater than its depth. The lower facial height is also high, suggesting a shape somewhat prone to developing a protruding lower bite, though this does not raise significant concern (6). The facial photograph of front view shows slight asymmetry in the face, but it is not particularly extreme (1). The first phase of treatment corrected the anterior cross bite and deviation, but subsequent growth exacerbated the mandibular deviation, necessitating surgical treatment.



7 At start of treatment 7-21-’88



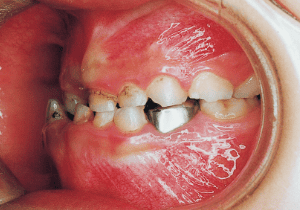
8 Beginning of 1st Phase 8-22-’88 7 years 1 month



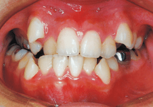
9 After Phase 1 Treatment 8-21-’89 8 years 1 month



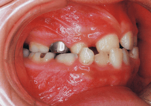
10 Perform lateral expansion of maxilla 7-4-’90 Midline is becoming deviated 9 years



11 During observation 4-1-’93 Midline deviation has become even greater 11 years 9 month
The Edgewise appliance was applied locally (8) and removed after 11 months (9). However, as the maxillary molar region gradually became crossbite, the maxillary arch was laterally expanded using a quad helix.
X-rays confirmed significant differences in the length and orientation of the mandibular ramus on the left and right sides. It was determined that orthodontic treatment alone would be insufficient, and a decision was made to proceed with treatment incorporating surgical intervention.
X-rays confirmed significant differences in the length and orientation of the mandibular ramus on the left and right sides. It was determined that orthodontic treatment alone would be insufficient, and a decision was made to proceed with treatment incorporating surgical intervention.






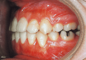
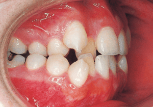
12 Before Phase 2 Treatment 10-26-’96 15 years 3 month

13 Before Phase 2 Treatment 10-26-’96


14 Before Phase 2 Treatment 11-6-’96



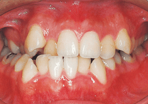
15 Beginning of 2nd Phase 1-29-’97 15 years 6 month



16 Before surgery 7-21-’98 17 years



17 After surgery 8-11-’98 17 years 1 month

18



19 At start of Phase 1 Treatment 7-21-’88 7 years



20 After Phase 1 Treatment 8-21-’89 8 years 1 month



21 Before Phase 2 Treatment 10-26-’96 15 years 3 month



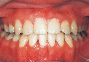
22 After treatment 2-10-’99 17 years 7 month



23 After Retention 1-22-’01 19 years 6 month
Although early treatment improved the slight deviation observed during the deciduous dentition stage, it became apparent that the deviation increased with age, eventually exceeding the limits of treatment. This appears to be an innate deviation, and the developmental pattern observed in this case seems to disregard the occlusion. Four first premolars were extracted (15), crowding was corrected and space closure was performed (16), and surgical intervention improved the deviation (17).